Sesamoiditis
Sesamoiditis refers to pain beneath the big toe joint.
Sesamoid literally translates from a Latin word meaning seed, which is the shape of these two small bones in your foot. Located inside a tendon which lies under the first toe joint, these sesamoid bones serve a very important function during walking and running.
Much of the load transfer which occurs during the propulsive phase of walking and running is transmitted through the first toe joint, which is why it is larger and more robust than the other toe joints in your foot. In order for this weight transmission to occur effectively, adequate leverage is required. The sesamoid bones help provide this much needed leverage force, hence their strategic position under the first toe joint.
Some of the common signs and symptoms of sesamoiditis include severe sharp or throbbing pain, Local inflammation, redness and swelling of the soft tissues and changes to the walking pattern in an attempt to offload the painful area.
Some common factors that may predispose you to sesamoiditis include increased unaccustomed activity, improper footwear, trauma, abnormal foot structure and function. A malpositioned first toe joint such as a bunion can also predispose you to this condition.
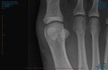
Medical imaging for this condition can include an x-ray, ultrasound, CT or MRI scan.
Non-surgical management is normally attempted for a period of time and may include a combination of rest, physical therapy modalities and the use of prescription foot orthoses or shoe inserts to address the contributing foot biomechanics and offload this area.
Surgical removal of the offending sesamoid known as a sesamoidectomy may be an option if all non-surgical methods do not assist in adequate symptom relief. This involves an incision adjacent to the offending sesamoid and excision. Even though the sesamoids are located beneath the foot, sometimes surgery can be performed through an incision on the side or top of the foot.





