Tailor’s bunions
A Tailor’s bunion refers to hypertrophy (prominence) of the fifth metatarsal head. Often the prominence is symptomatic and irritation can be due to osseous (bony) or soft tissue thickening, and pressure from footwear. There may also be an associated deformity of the fifth toe.
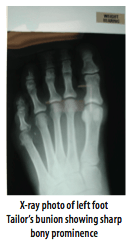
Surgical correction of your Tailor’s bunion head may be required when it is painful such that it X-ray photo of left foot Tailor’s bunion showing sharp interferes with normal daily activity, or there bony prominence are footwear fitting difficulties.





