Ankle Arthritis
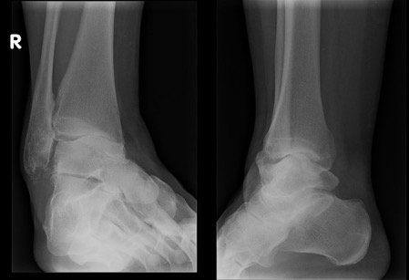
Arthritis of the ankle joint means there are degenerative changes within the joint. Degenerative changes are depicted by pain in the area, narrowing of the joint space, osteophytes or bone spurs, cystic areas within the bone, damage to the joint cartilage, and laying down of extra bone. There are many causes of ankle arthritis, ranging from simple wear and tear of the joint to more extensive injuries such as a bad ankle sprain or a motor vehicle accident.
Surgical treatment of ankle arthritis can involve cleaning out of the ankle joint, such as removal of damaged cartilage and bone spurs, to arthrodesis (stiffening) of the ankle joint, or an ankle joint replacement. The type of surgery proposed depends on the extent of the ankle arthritis and patient factors regarding recovery. Whilst Dr Julie Taranto and Mr Michael Taranto don’t perform ankle fusion or replacement procedures, they will be able to assess and advise you on the appropriate management and referral pathway via your GP.


