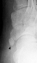
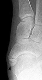
Acccessory navicular
The navicular is one of the 28 bones in the foot that is positioned like a keystone at the top of the long arch of the foot. The navicular is the point of attachment for the posterior tibial tendon, which supports the arch.
In approximately 10% of the population there is an accessory navicular, or an extra navicular bone. Usually the accessory navicular is not large enough to cause symptoms.
Feet associated with the accessory navicular are usually flat footed, or excessively pronated. The accessory navicular can be prominent causing footwear irritation. The posterior tibial tendon can become overstretched causing degenerative tendinopathy, inflammation of the tendon sheath or irritation between the two fragments of the navicular.
Initially this condition is managed with a range of non-surgical modalities for a period of time and may include a combination of rest, physical therapy modalities and the use of prescription foot orthoses or shoe inserts to address the contributing foot biomechanics.
If relief of symptoms is not obtained with non-surgical management then the accessory navicular may need to be surgically excised. This is done via an incision over the accessory navicular and dissection of the bone from within the tendon. The tendon is then repaired and the incision closed. There is normally a period of non-weight bearing on crutches and then progression to assisted weight bearing in a cast or CAM walker. Rehabilitation is based on individual circumstances but almost always involves physiotherapy.




