Midfoot arthritis
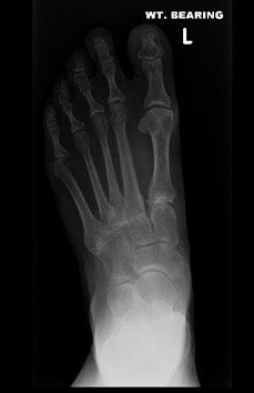
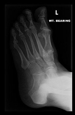
Midfoot arthritis refers to arthritis in the middle part of the foot. There are a number of joints that make up this part of the foot and arthritis in this area presents with degenerative changes. Degenerative changes are depicted by pain in the area, instability of the joint, narrowing of the joint space, osteophytes or bone spurs, cystic areas within the bone, damage to the joint cartilage, and laying down of extra bone.
Many people will notice a hard bony lump on the top of their foot which may be painful and may make enclosed footwear uncomfortable. There are many causes of midfoot arthritis, ranging from simple wear and tear of the joint to more extensive injuries such as those involving the soft tissue structures that surround the joints. You do not have to be elderly to have midfoot arthritis, and in the case of previous injury, often patients are much younger.
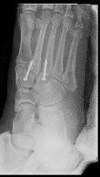
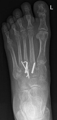
Surgery for midfoot arthritis ranges from simple to more complex procedures. Surgery may involve a “clean-up” of the joint by removing damaged cartilage and bone spurs, resection of a part of the joint, fusion (stiffening) of one or more joints. Medical imaging, such as x-rays and MRIs are usually obtained prior to surgery to determine the extent of the injury and to plan for the proposed surgery.
Rehabilitation varies according to the procedure performed. In some cases patients are allowed to weight bear immediately following surgery, but in other cases they are required to be non-weight bearing for a period of time.










